審美歯科症例2
冠が外れたということで来院されました。
下は治療前の状態です。
前歯の1本が歯茎よりも下のところで折れていました。
出来るだけ歯を残すことを念頭においておりますが、この歯の保存は難しく、抜歯は避けられない診断となりました。
(歯を抜いた部分は多くの場合、骨が陥没します。)
抜歯後の骨の陥没を防ぐ為に、部分矯正を用いて歯槽骨の保存を行いました。
(部分矯正は小さな装置です。この方は残った歯を引き上げる矯正を行いました。)
また、患者さんと話し合いの結果、メタルボンドで治療する事になりました。
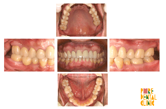
前歯のうちの一本は抜歯されていますが、それもわからない仕上がりになりました!
下は治療完了の状態です。
現在はメインテナンスに通っていらっしゃいます!

















