インプラント症例1
今日は、インプラントの症例を紹介させて頂きます。
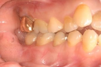
これは、左上の4番目の歯が折れてしまったために、患者さんが入れ歯でもなく、ブリッジのように歯を削る事なく、今まで通り咬めるようにというご希望だったため、インプラントになった症例です。
インプラント術前
インプラント術後
入れ歯であれば、引っ掛けるフックが見え、ブリッジの保険適用であれば、虫歯になっていない両隣が銀歯におおわれてしまいますので、良い選択をなされたと思います。患者さまも見た目と機能性に大変喜ばれていました。

















